
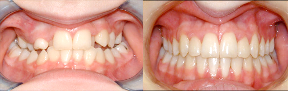
Un zâmbet frumos sporește stima de sine a copilului tău.
Iar încrederea în propria persoană înseamnă calitate în viața lui de mai târziu.
Un tratament ortodontic corect, efectuat la timp, adaugă câțiva ani de calitate în viața copilului tău.
Persoanele cu stimă de sine ridicată tind să obțină mai mult în carieră, să aibă relații de calitate superioară și să se bucure de o sănătate mentală mai bună.*
* Conform unor studii publicate în revistele Child Development, Journal of Applied Psychology și Journal of Consulting and Clinical Psychology.
Cu alte cuvinte…
Părinții sunt responsabili în mare măsură de nivelul veniturilor, calitatea relațiilor și sănătatea mentală a copiilor lor, atunci când vor deveni adulți.
Sunt Dr. Raluca Moraru, Medic Specialist Ortodonție și Ortopedie Dento-Facială și mamă de copil cu probleme ortodontice, și îți transmit ceva ce probabil nu știai…
Simpla aliniere a dinților nu rezolvă cauzele problemelor ortodontice ale copilului tău!
Pentru tratarea cauzelor e nevoie de soluții ortodontice avansate.
Un tratament ortodontic performant optimizează relația schelet-musculatură-dentiție pentru a obține ocluzia fiziologică ideală, având ca rezultat echilibru între estetică și funcționalitate.
Click pentru programare online

Tratamentele eficiente acționează asupra cauzelor problemelor ortodontice și presupun abordări interdisciplinare ce implică diverse specialități medicale:
- ortodonție
- pedodonție
- endodonție
- protetică
- chirurgie maxilo-facială
- implantologie
- parodontologie
- ORL
- neurologie
- fizioterapie
- logopedie
Rezultate previzibile
- alinierea dinților pe arcade
- corecția ocluziei („mușcăturii”)
- îndreptarea posturii corporale (Da!)
- îmbunătățirea esteticii dentare
- obținerea echilibrului facial
- încetarea durerilor de cap și articulare
- eliminarea cracmentelor („pocnituri” la nivel articular)
- înlăturarea bruxismului („scrâșnirea” dinților)
- reducerea posibilităților de recidivă
La finalul tratamentului pacientul…
- arată mai bine
- se simte mai bine
- are un zâmbet frumos
- își îmbunătățește postura corpului
- se dezvoltă corect d.p.d.v. psihic
- nu mai percepe disconfort fizic
- poate mânca orice aliment
- nu mai este victimă a bulyingului
- are mai multă încredere în sine
- își îmbunătățește viața socială
- se odihnește mai bine
- devine mai productiv
Adică își îmbunătățește semnificativ stima de sine, factor esențial în calitatea vieții.
Click pentru a programa o consultație
Despre mine

Sunt Dr. Raluca Moraru, Medic Specialist în Ortodonție și Ortopedie Dento-Facială în Cluj-Napoca, și ultimii 17 de ani i-am dedicat dezvoltării profesionale prin participarea la cele mai avansate cursuri de specializare.
În urma participării în 2018 la cursul ”FACE – The Orthodontic Restaurative Interface”, am adoptat acest protocol interdisciplinar avansat de tratament, pentru pacienții la care se impune, datorită rezultatelor superioare față de tratamentele ortodontice axate exclusiv pe alinierea danturii.
Când i-am analizat copilului meu problemele ortodontice, după erupția dentiției definitive, n-am putut să ignor responsabilitatea care mi se adresa direct.
Atunci am decis că pentru copilul meu doar cea mai bună soluție este suficient de bună.
Un tratament ortodontic eficient produce rezultate pe mai multe planuri:
- Medical – elimină cauzele durerilor
- Funcțional – obține funcționalitatea normală a ocluziei
- Estetic – restaurează echilibrul facial
- Social – îmbunătățește stima de sine și dezvoltă o atitudine încrezătoare
- Personal – crește productivitatea în activitatea zilnică
Pentru analiza situației reale a cazului care te preocupă, rezultatele la care putem ajunge, implicațiile ce decurg dacă nu acționezi la timp și care este pasul următor…
Tratamentul corect începe cu o consultație
Pașii următori…
Primul pas este consultația inițială la medicul specialist ortodont.
Pentru a câștiga timp, recomand ca pacientul să se prezinte la prima vizită cu următoarele investigații preliminare:
- radiografie panoramică (OPT)
- istoricul medical stomatologic și general
- La prima consultație, după analizarea situației dentare și faciale, voi stabili necesitatea unor investigații suplimentare (fotografii, teleradiografie de profil, RMN etc.)
- La a doua vizită voi prelua mulajul dinților și, în baza tuturor datelor de care dispun la acel moment, până la următoarea întâlnire voi analiza variantele posibile de tratament.
- La a treia întâlnire voi prezenta câteva variante de tratament (dacă există), elaborate în baza unor simulări digitale (setup-uri) la care pacientul are acces.
În această fază vom ști deja dacă este necesară implicarea mai multor specialiști și vom putea estima durata și costurile tratamentului ortodontic.

Acceptarea planului de tratament presupune asumarea de către pacient și aparținători a protocolului propus cu privire la:
- trimiterile către alți medici specialiști
- indicațiile terapeutice
- vizitele regulate obligatorii la cabinet
- manoperele necesare
- aplicările, schimbările sau activările dispozitivelor ortodontice etc.
Rezultate uimitoare
Pe plan medical, tratamentul ortodontic elimină cauzele durerilor articulare și de cap generate de afecțiunile ATM dar și cauzele bruxismului și cracmentelor la nivel articular.
Astfel că disconfortul fizic datorat problemelor ortodontice va dispărea din viața pacientului.
Din punct de vedere fizic, relația schelet – musculatură – dentiție se va optimiza și se va obține ocluzia corectă, fiziologică.
Principalele îmbunătățiri pe plan estetic le va simți pacientul în urma alinierii dinților și a obținerii echilibrului facial – cauză principală pentru lipsa de stimă de sine.
Viața socială se va îmbunătăți simțitor, pacientul va căpăta mai multă încredere, va socializa mai ușor, iar situațiile neplăcute cauzate de aspectul estetic particular (bullying, marginalizare, prejudecăți) vor fi mai rare sau vor dispărea.
Din punct de vedere personal, pacientul se va putea concentra mai mult la activitățile zilnice (serviciu sau școală) devenind astfel mai productiv.
Iar asta îi va aduce atât satisfacții profesionale cât și materiale.
În concluzie, pacientul va arăta mai bine, se va simți mult mai încrezător, iar calitatea vieții se va îmbunătăți semnificativ.
Click pentru a programa o consultație
Întrebări frecvente
Cât durează tratamentul ortodontic?
Durata diferă de la pacient la pacient, fiecare caz în parte fiind unic. În funcție de problemele particulare și reacția organismului la proceduri, diferă numărul etapelor, manoperelor respectiv al specialiștilor implicați într-un tratament complex. Acesta poate dura de la 1 an până la 5 ani, o estimare putându-se face abia la prezentarea opțiunilor de tratament.
Cât costă tratamentul ortodontic?
Un tratament ortodontic ce rezolvă cauzele problemelor ortodontice (cu implicații pozitive majore asupra vieții pacientului), este influențat de complexitatea patologiei, cea care determină etapele, manoperele și specialiștii implicați. Costurile tratamentului sunt prezentate pacientului abia la a 3-a vizită la cabinet, după analizarea situației dentare și faciale, făcută în baza tuturor investigațiilor necesare.
Care e vârsta potrivită pentru un tratament ortodontic?
Recomand ca prima vizită la ortodont să se facă după împlinirea vârstei de 4 ani. Un tratament ortodontic se poate efectua cu rezultate uimitoare chiar și la pacienți cu vârste de peste 45-50 ani.
Pot întrerupe tratamentul urmând ca apoi să-l reiau ulterior?
Există două situații:
Prima, în care pe durata întreruperii (după înlăturarea tepporară a aparatului) pacientul folosește aparate de menținere (contenție), caz în care tratamentul se poate relua din punctul în care a rămas.
A doua, în care pacientul nu folosește aparat de contenție, caz în care tratamentul întrerupt nu poate fi reluat în baza planului inițial. Modificările survenite pe durata întreruperii vor trebui din nou analizate, iar asta presupune noi proceduri de diagnosticare, evaluare și analiză – adică un plan de tratament „de la zero”.
Pot ajunge la aceleași rezultate cu aparate ortodontice diferite?
La prezentarea opțiunilor de tratament, îți voi explica plusurile și minusurile variantelor propuse. Asumarea planului de tratament atrage după sine însușirea protocolului aferent. Deși alinierile pot fi obținute relativ ușor cu aparate ortodontice, în situația cazurilor complexe, alinierile nu rezolvă cauzele problemelor. Iar acolo unde nu rezolvăm cauzele, problemele articulare și de ocluzie vor afecta în continuare viața pacientului.
Dacă port deja aparat dentar, pot continua respectivul tratament?
Dacă aparatul dentar a fost aplicat de un alt ortodont, sunt necesare investigații medicale noi pentru a stabili „momentul zero” (cel la care ne întâlnim la cabinet). În momentul începerii colaborării, aparatul inițial este înlăturat și apoi urmat protocolul asumat în noul plan de tratament.
Trebuie să vin regulat la cabinet?
Pentru monitorizarea atentă a evoluției, protocolul de tratament prevede prezentarea regulată la cabinet pentru ajustări prompte la reacția individuală a fiecărui organism la tratament.
Cum pot plăti și dacă există posibilitatea de eșalonare a plăților?
Plata serviciilor medicale se face la cabinet în numerar sau cu cardul bancar. Tratamentul implicând mai mulți colaboratori, nu sunt disponibile planuri de eșalonare. Dar la momentul prezentării planului de tratament, voi putea estima costurile privitoare la tratamentul ortodontic, astfel încât să-ți bugetezi din timp sumele necesare.
Tratamentul corect începe cu o consultație
Garanții
Fiecare caz ortodontic este unic, diferit de la pacient la pacient.
Orice tratament medical (indiferent de specialitate – cardiologic, gastro-enterologic etc), este influențat de situația individuală a pacientului și de modul de răspuns al organismului la tratament.
Situațiile particulare fiind astfel infinite, un medic responsabil nu poate oferi garanții, cu atât mai puțin în cazul diagnosticelor complexe.
Durata tratamentului ortodontic este variabilă iar pacientul trebuie să respecte o serie de cerințe (igienă, regim alimentar, vizite la cabinet, manopere și ajustări ale dispozitivelor ortodontice), astfel că acordarea vreunei garanții devine imposibilă, medicul specialist neavând niciun control asupra deciziilor pe care le ia pacientul în viața particulară.
Eu îți garantez că…
- utilizez cele mai noi descoperiri tehnice și științifice pe care le-am adoptat în practica mea,
- aplic în cabinet cele mai bune practici din ortodonție,
- tratez fiecare pacient cu cele mai bune intenții,
- ajungem la cel mai bun rezultat pe care îl promite planul de tratament, dacă pacientul îl respectă.
De ce să acționezi acum
Pentru că nu putem da timpul înapoi, cel mai potrivit moment pentru începerea tratamentului ortodontic este ACUM.
Pacientul care se prezintă repede la cabinet se bucură mai repede de rezultate și câștigă câțiva ani de calitate în viața lui și a familiei sale.
Un părinte responsabil care dorește soluțiile corecte (fără compromisuri) pentru copilul său înțelege că timpul este un factor important în tratamentul ortodontic.
Stabilește ACUM o programare pentru a câștiga timp și pornește pe drumul care va schimba viața copilului tău în mai bine.